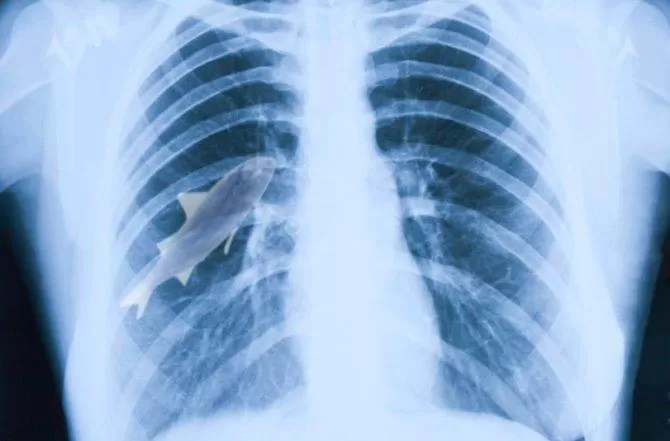
EN SU CUERPO. El pez quedó en el pulmón. FOTO TOMADA DE ABC.ES
ISLAMABAD, Pakistán.- Lo que pudo ser una tragedia, por suerte, terminó sólo en un susto. Un niño, bromeando con amigos, se introdujo un pez por su nariz y tuvo que ser hospitalizado de urgencia.
Anil Barela, de 12 años, se encontraba con amigos a la orilla de un río, en el estado de Madhya Pradesh, donde decidieron practicar un juego. Consistía en “cómo tragarse un pez” cuando, por un error, el niño en cuestión lo inhaló con escamas, cabeza y cola.

El animal terminó en el pulmón izquierdo de Anil, que fue internado de urgencia con graves problemas de respiración. Los médicos lograron extraer el pez de su cuerpo y estabilizar sus niveles de oxígeno en sangre, que habían disminuido a puntos críticos y por surte ahora está fuera de peligro. (Especia-ABC.es)






















