Cáncer de pulmón: cuál es el fármaco autorizado por la Anmat que previene las recaídas (MedlinePlus)
Ante las recaídas que sufren los pacientes con cáncer de pulmón, la Anmat autorizó una nueva inmunoterapia que se posiciona como una luz de esperanza. Según datos brindados por el organismo, las recaídas aparecen luego de la cirugía en más del 50% de los pacientes que son diagnosticados en estadios tempranos de este cáncer de células no pequeñas.
Se trata de un anticuerpo monoclonal diseñado para unirse a una proteína llamada PD-L1, que se expresa en las células tumorales y en las inmunitarias que infiltran el tumor, bloqueando la respuesta del sistema inmunitario en contra de las células tumorales. Este fármaco también está aprobado para tratar tumores cómo el cáncer de vejiga, el cáncer de mama y el carcinoma hepatocelular.
En qué consiste la nueva inmunoterapia para prevenir las recaídas del cáncer de pulmón
Según consigna Infobae, se trata de Atezolizumab, un tratamiento adyuvante que se aplica tras la cirugía completa y quimioterapia basada en platino, para adultos con ese tipo de cáncer de pulmón, cuyos tumores expresen el biomarcador PD-L1 y no tengan mutaciones de los genes EGFR o ALK.
La nueva opción terapéutica se convierte, de esta manera, en la primera inmunoterapia adyuvante disponible en Argentina para este tipo de cáncer.
El cáncer de pulmón es uno de los tumores más frecuentes, del que se diagnostican más de 12.000 casos nuevos al año en Argentina. Su elevada mortalidad se asocia principalmente a un diagnóstico tardío, ya que en más del 50% de los casos la enfermedad se detecta en fases avanzadas, cuando ya no es operable.
En tanto, el cáncer de pulmón de células no pequeñas es el subtipo más frecuente, representando entre 85-90% de los casos nuevos.
Los objetivos del nuevo del tratamiento adyuvante
En el ámbito médico se sabe que el diagnóstico temprano y el abordaje de la enfermedad en forma anticipada ayuda a conseguir un mejor tratamiento. Y respecto a esta enfermedad en particular se podría esperar un aumento de la supervivencia de hasta un 80%. Los expertos afirman también que el tratamiento adyuvante aplicado tras la cirugía reduce el riesgo de que la enfermedad vuelva a aparecer, por lo que incrementa las posibilidades de curación.
El nuevo medicamento viene a cubrir una necesidad médica en los pacientes con cáncer de pulmón de células pequeñas en estadios tempranos. La aprobación del mismo se ha basado en los resultados del ensayo clínico IMpower010, informa Infobae.
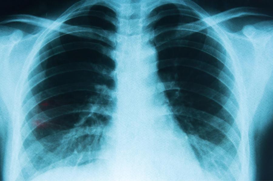
El cáncer de pulmón es uno de los tumores más frecuentes, del que se diagnostican más de 12.000 casos nuevos al año en Argentina. (Infobae)
El estudio demostró que el tratamiento con atezolizumab, tras una cirugía completa y quimioterapia basada en platino, redujo el riesgo de recaída de la enfermedad o muerte (supervivencia libre de enfermedad; SLE) en un 57% en personas con CPCNP en estadio II-IIIA (estadios iniciales e intermedios operables) cuyos tumores expresan PD-L1≥50% y que no tienen mutaciones de los genes EGFR o ALK, en comparación con el mejor cuidado de soporte. Este beneficio clínico se traduce en una mejora significativa en el pronóstico de los pacientes con esta enfermedad.
En qué pacientes será más efectivo el Atezolizumab
Si bien Atezolizumab representa un avance significativo en el abordaje del cáncer de pulmón temprano, desde Roche Argentina, el laboratorio productor del medicamento, afirman que esta terapia no es efectiva para todos los pacientes, ya que solo aquellos que tengan expresión del biomarcador PD-L1 y que no tengan alteraciones en los genes ALK o EGFR, podrán beneficiarse de este tratamiento.
Es por eso que es indispensable el diagnóstico molecular de biomarcadores previo, ya que el mismo permite a los médicos identificar a los pacientes que sí responderán a la terapia, evitando su uso innecesario en aquellos que no se beneficiarán. Este tipo de análisis se realiza sobre una muestra de tejido tumoral tomada del paciente durante la cirugía o una biopsia previa.
























